Autor: Carol Rumack Tomo 1 y 2
Video 27.21 Trombo yugular interno agudo
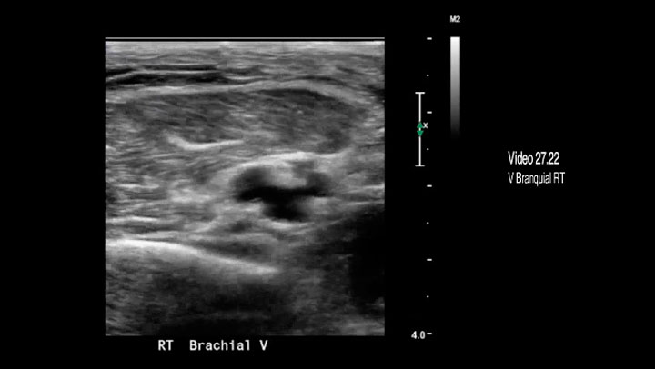
Video 27.22 Trombo no oclusivo en una vena braquial en las venas braquiales emparejadas
Video 27.23 Trombo agudo alrededor del catéter central insertado de forma periférica (PICC) en la vena basílica
Video 27.24 Trombo agudo alrededor del catéter central insertado de forma periférica (PICC) en la vena basílica
Video 27.25 Vena cefálica de pared gruesa con trombo crónico
Video 27.26 Hematoma grande adyacente a fístula arteriovenosa (AVF)
Video 27.27 Pseudoaneurisma de la vena basílica de AVF pequeña
Video 27.28 Irregularidad y degeneración de la pared del injerto por pinchazos repetidos
Video 27.29 Estenosis de la anastomosis venosa del injerto con velocidad sistólica pico de 6,1 m/s en la parte del chorro de máxima velocidad