Autor: Carol Rumack Tomo 1 y 2
Video 43.01 Lago placentario
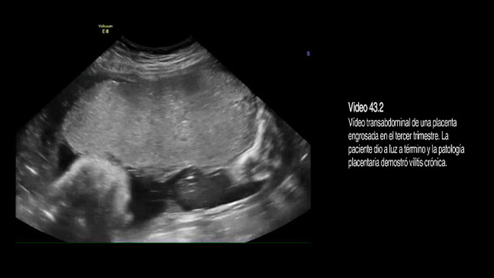
Video 43.02 Placenta gruesa
Video 43.03 Placenta accreta
Video 43.04 Placenta increta
Video 43.05 Placenta percreta
Video 43.06 Abrupción
Video 43.07 Abrupción
Video 43.08 Hematoma preplacentario
Video 43.09 Hematoma preplacentario
Video 43.10 Infarto de placenta
Video 43.11 Infarto de placenta
Video 43.12 Placenta circunvalada
Video 43.13 Placenta circunvalada
Video 43.14 Placenta bilobulada
Video 43.15 Inserción de cordón velamentoso y cordón de dos vasos
Video 43.16 Inserción del cordón umbilical en la placenta
Video 43.17 Vasa previa